Composite & Aesthetic — CPD Course

Anterior Composite Masterclass

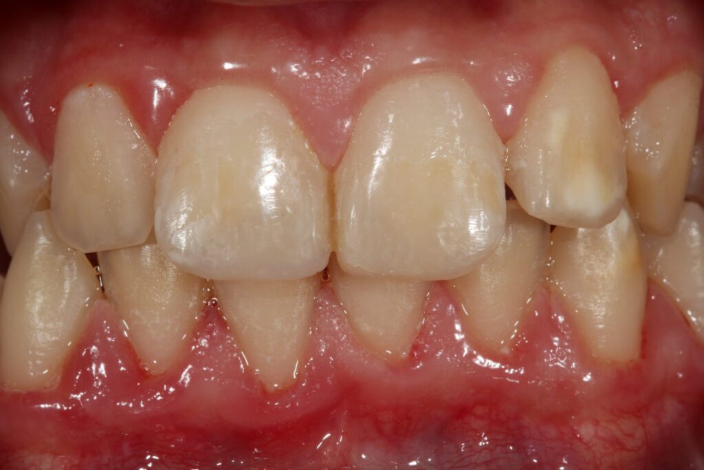
A 2-day hands-on course teaching predictable anterior composite restorations — from shade matching and Class IV buildups to diastema closures and direct veneers.

Places Available
Date 8 May 2026 – 9 May 2026
Location Denhill House, Hulme, Manchester
CPD Hours 14 Verifiable
Price £895 + VAT

About This Course

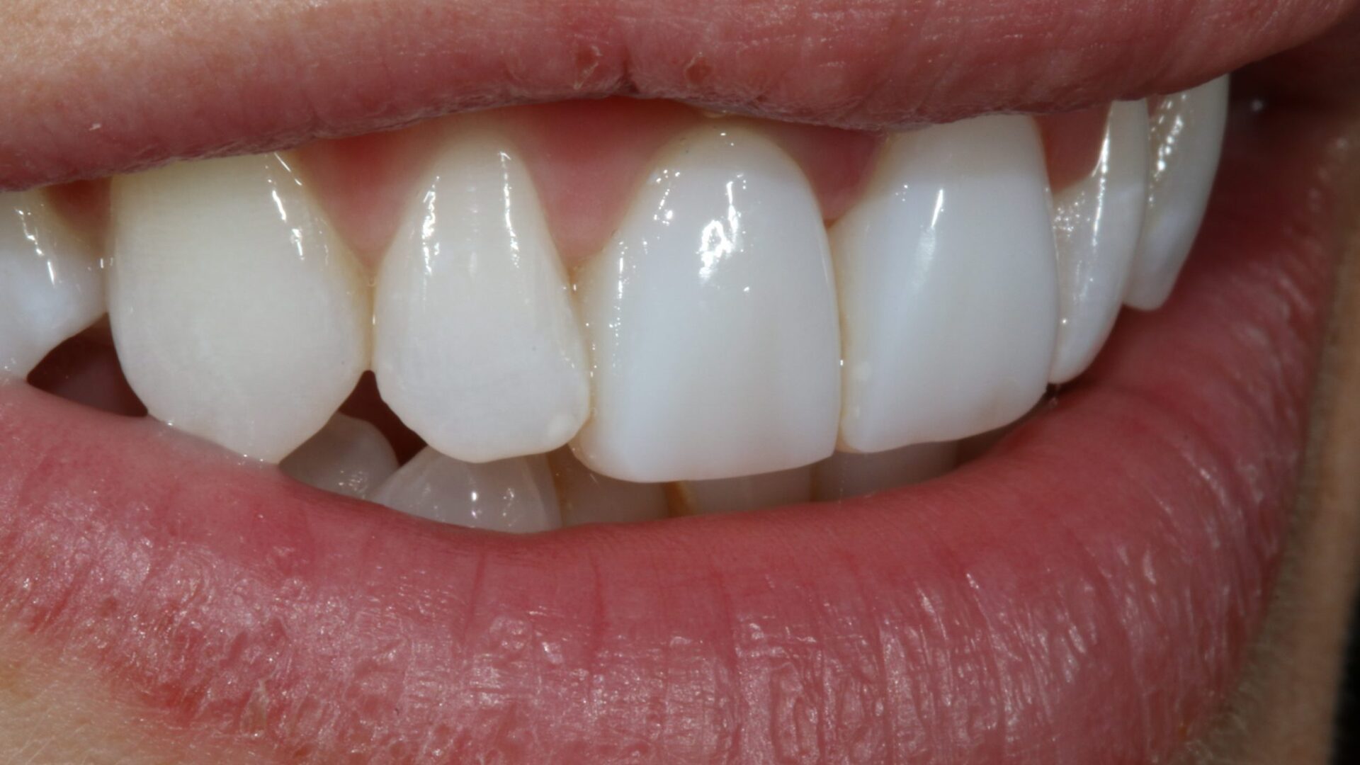
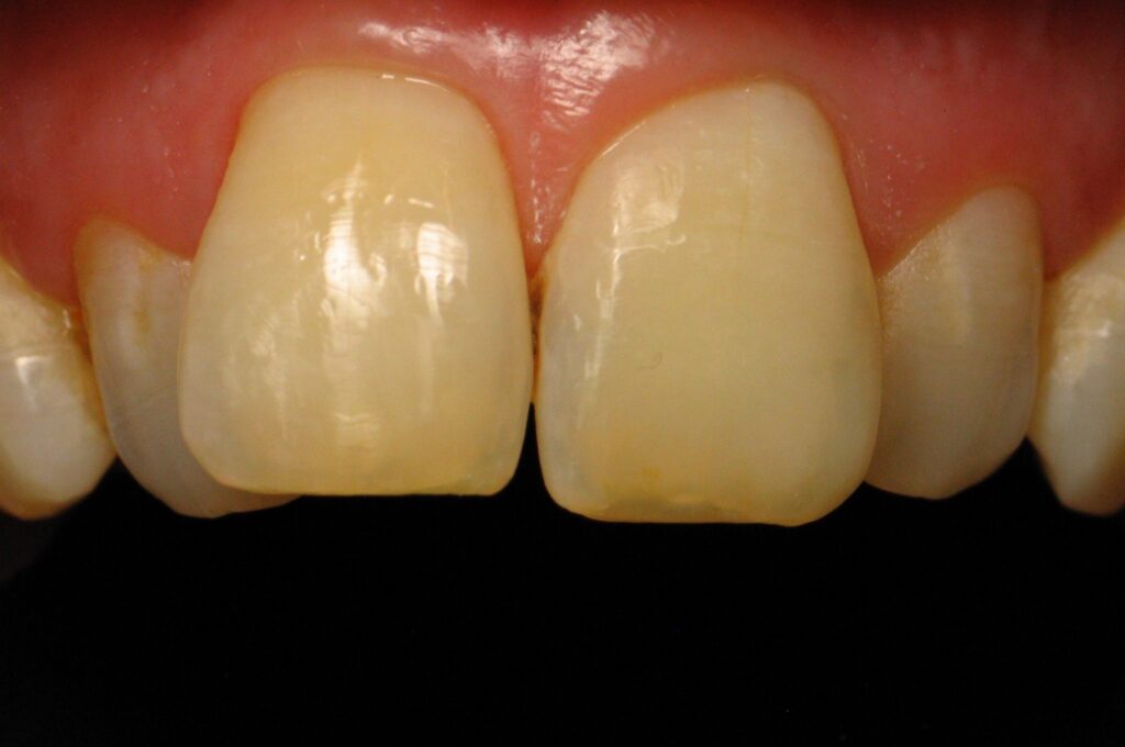
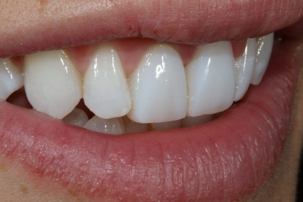
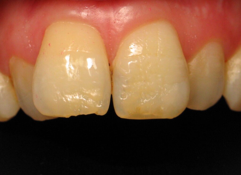
The programme enables dental professionals to restore small and large defects in anterior teeth predictably. It combines theoretical instruction about composite resins with substantial practical application, allowing practitioners to restore various defects with confidence.

Suitable for dentists and DCPs looking to genuinely improve their anterior composite technique under direct supervision from Dr. Nadeem Younis.

What You'll Learn

  • Understand anterior tooth anatomy and replicate with composite resins restorations
  • Use different methods of shade taking and relate to composite resin restorations
  • Labiopalatal and Palatolabial incremental build up techniques
  • Restore Class IV defects with predictability
  • Fabricate direct composite veneers
  • Incisal edge bonding
  • Restore diastemas with different techniques
  • Restore worn anterior teeth with aid of clear matrices
  • Create anatomically correct contact points
  • Evaluate different matrices for creating contact points
  • Mylar pull techniques
  • Critically evaluate different bonding agents
  • Use of tints to recreate incisal halo, fluorosis effects and crack lines etc
  • Finishing and polishing composites to a high lustre

What's Included

  • All composite materials and instruments provided
  • Comprehensive course notes
  • Verifiable CPD certificate (14 hours)
  • Lunch and refreshments both days
  • Post-course mentor support from Dr. Younis

Course Curriculum

09:00AM – 9:30AM – Registration
9:30 – 10:45 – Lecture: Anterior Composites
11:00 – 12:30 – Lecture: Anterior Composites
12:30 – 13:30 – Lunch
13:30 – 14:45 – Practical: Class IV Restorations
15:00 – 17:00 – Fabrication of Direct Composite Veneers, Finishing & Polishing Protocols

Your Lecturer

Dr. Nadeem Younis

Dr. Nadeem Younis

BDS, DGDP(UK), DPDS, MSc, FCGDent — Past President BAAD

Over 30 years of clinical experience. Manchester-based dentist and educator. Dr. Younis has personally trained over 1,000 dentists and dental care professionals through his hands-on CPD courses.

Full biography

Frequently Asked Questions

What Delegates Say

Read all testimonials →

You Might Also Like

Anterior Composite Masterclass
Places Available 14 CPD hrs
8 May 2026 Denhill House, Hulme, Manchester

Anterior Composite Masterclass

A 2-day hands-on course teaching predictable anterior composite restorations — from shade matching and Class IV buildups to diastema closures and direct…

Dental Wax-Up Masterclass
Sold Out 14 CPD hrs
Denhill House, Hulme, Manchester

Dental Wax-Up Masterclass

A 2-day course teaching dentists and therapists to understand and reproduce tooth anatomy in wax — the missing link between average and…

Orthodontics Masterclass
Places Available 14 CPD hrs
9 October 2026 Denhill House, Hulme, Manchester

Orthodontics Masterclass

Start offering clear aligner therapy with confidence. From case selection to clinical workflow — the complete introductory programme for GDPs.