Composite & Aesthetic — CPD Course

Posterior Composite Masterclass

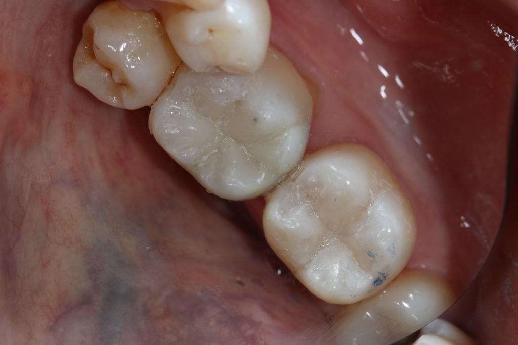
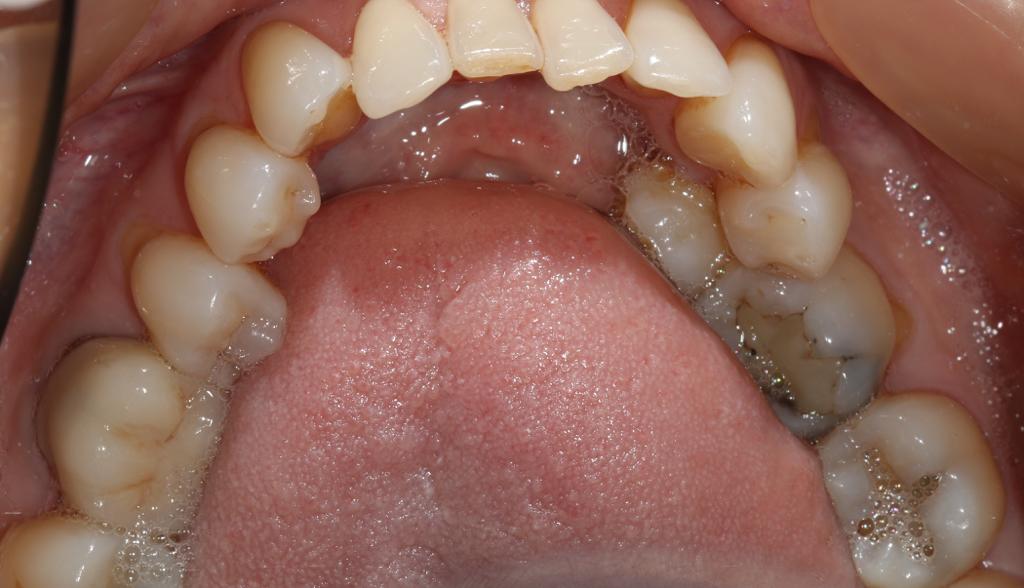
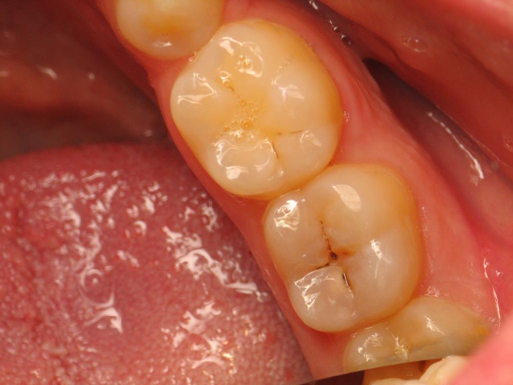
A 2-day hands-on course covering predictable posterior composite restorations — Class II cavities, the Stamp Technique, semi-direct inlays, and posterior tooth wear.

Places Available
Date 26 June 2026 – 27 June 2026
Location Denhill House, Hulme, Manchester
CPD Hours 14 Verifiable
Price £895 + VAT

About This Course

The programme enables participants to restore small and large defects in posterior teeth in a predictable and consistent manner so that the restoration mimics the natural tooth. Theory covers composite resins with emphasis on practical application for confident restoration of various defects.

What You'll Learn

  • Restore posterior teeth with direct composite resins with predictability
  • Create anatomically correct occlusion and predictable contact points every time
  • Master class I and class II restorations
  • Stamp techniques for predictable occlusal anatomy
  • Evaluate and select appropriate bonding agents
  • Critically appraise use of lining materials
  • Indications for Bulk Fill composites
  • Fabricate semi-direct composite inlays and onlays
  • Treat posterior teeth wear with composites directly and with clear silicone indices
  • Posterior tooth anatomy
  • Use of tints and stains
  • Evaluate different type of wedges
  • Appreciate the use of circumferential, sectional and customised matrices
  • Finishing and polishing techniques

What's Included

  • All composite materials and instruments provided
  • Comprehensive course notes
  • Verifiable CPD certificate (14 hours)
  • Lunch and refreshments both days
  • Post-course mentor support from Dr. Younis

Your Lecturer

Dr. Nadeem Younis

Dr. Nadeem Younis

BDS, DGDP(UK), DPDS, MSc, FCGDent — Past President BAAD

Over 30 years of clinical experience. Manchester-based dentist and educator. Dr. Younis has personally trained over 1,000 dentists and dental care professionals through his hands-on CPD courses.

Full biography

Frequently Asked Questions

What Delegates Say

Read all testimonials →

You Might Also Like

Posterior Composite Masterclass
Places Available 14 CPD hrs
26 June 2026 Denhill House, Hulme, Manchester

Posterior Composite Masterclass

A 2-day hands-on course covering predictable posterior composite restorations — Class II cavities, the Stamp Technique, semi-direct inlays, and posterior tooth wear.

Anterior Composite Masterclass
Places Available 14 CPD hrs
8 May 2026 Denhill House, Hulme, Manchester

Anterior Composite Masterclass

A 2-day hands-on course teaching predictable anterior composite restorations — from shade matching and Class IV buildups to diastema closures and direct…

Orthodontics Masterclass
Places Available 14 CPD hrs
9 October 2026 Denhill House, Hulme, Manchester

Orthodontics Masterclass

Start offering clear aligner therapy with confidence. From case selection to clinical workflow — the complete introductory programme for GDPs.