Orthodontics — CPD Course

Orthodontics Masterclass

Start offering clear aligner therapy with confidence. From case selection to clinical workflow — the complete introductory programme for GDPs.

Places Available
Date 9 October 2026 – 10 October 2026
Location Denhill House, Hulme, Manchester
CPD Hours 14 Verifiable
Price £1,195 + VAT

About This Course

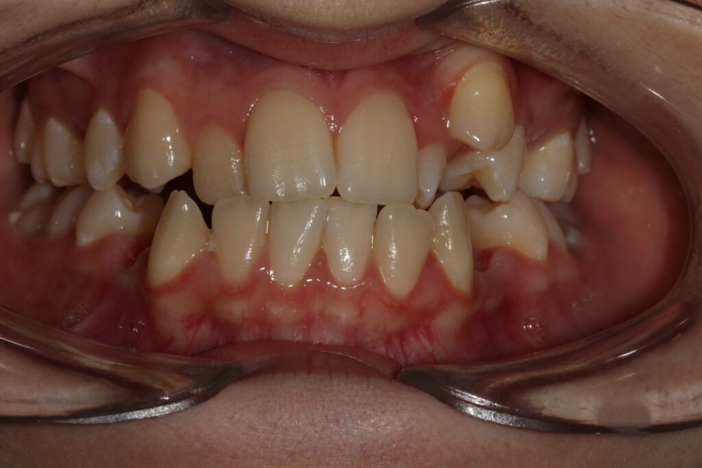
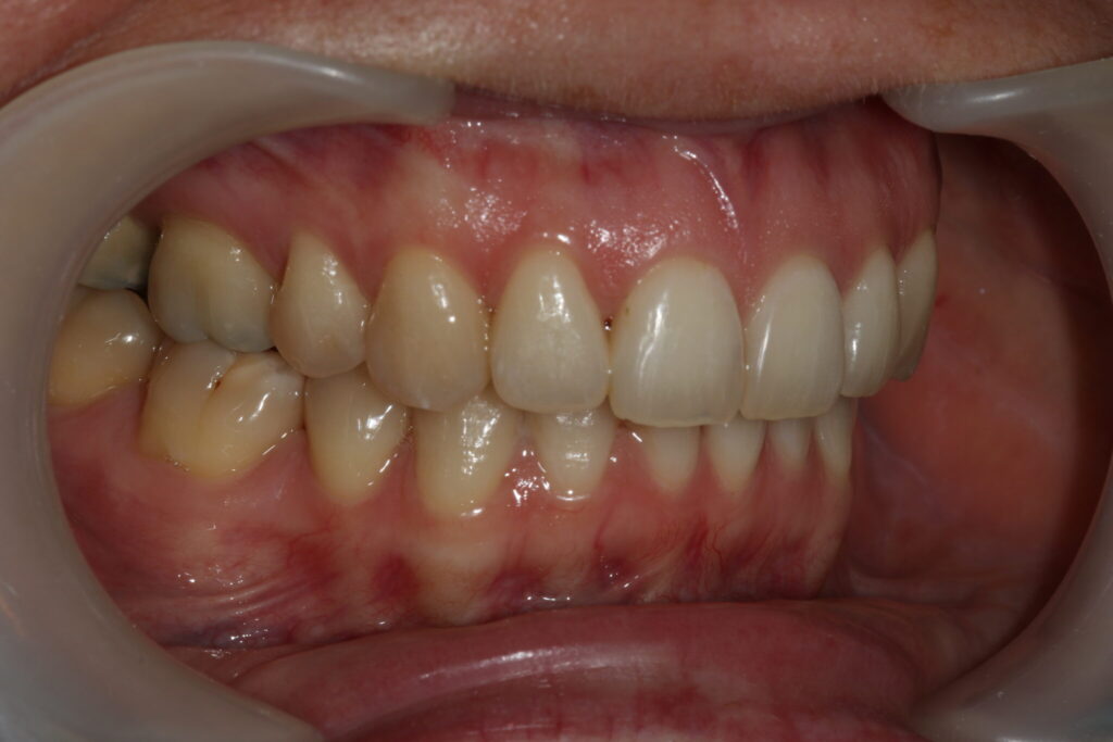
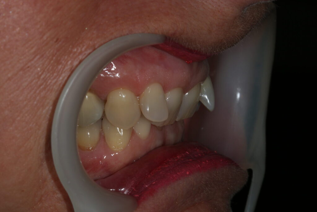
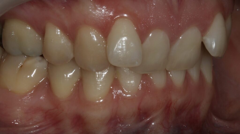
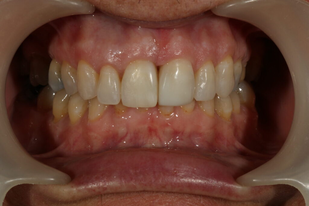
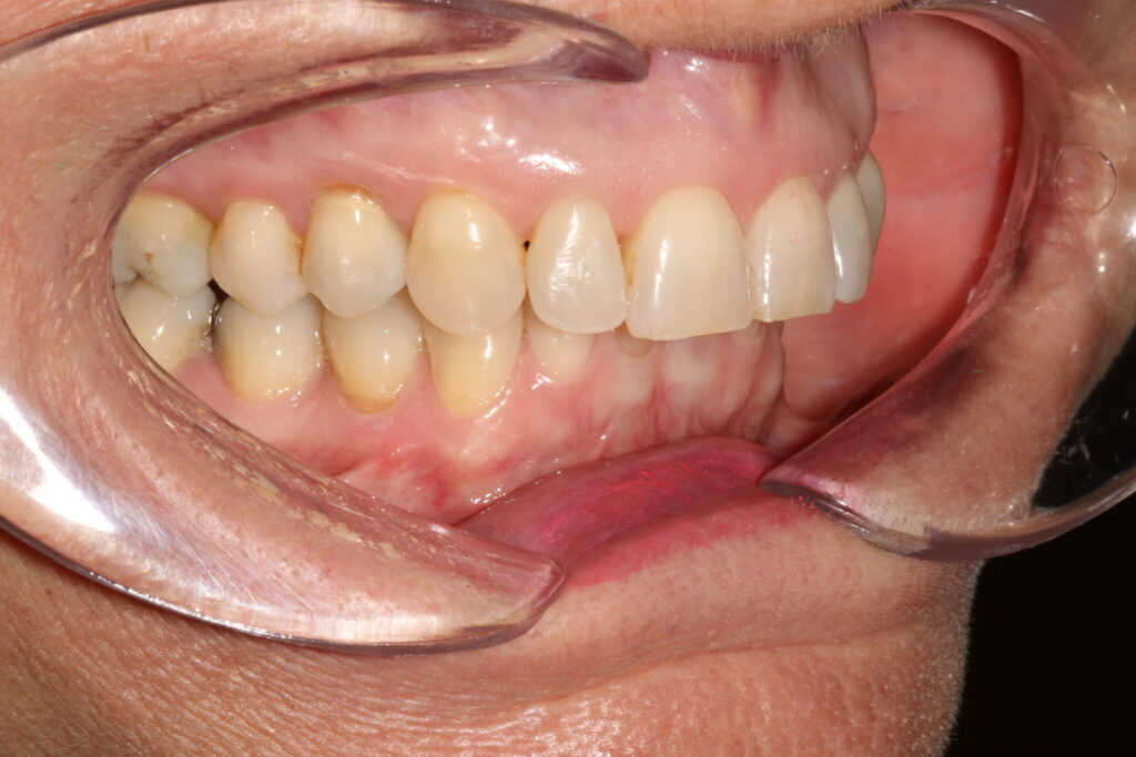
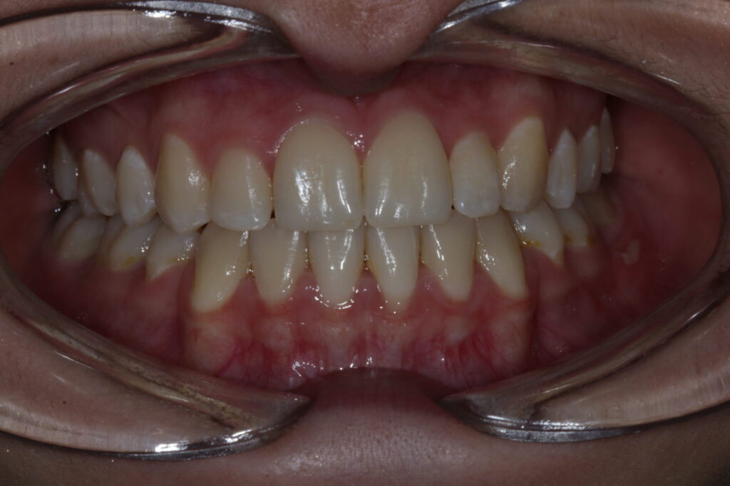
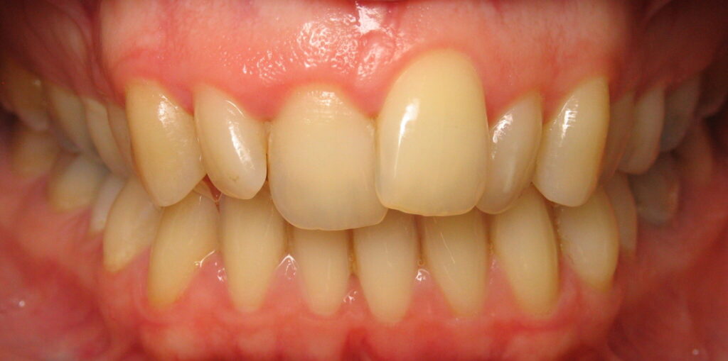
A 2-day hands-on course designed for GDPs wanting to incorporate orthodontic treatment into their practice. Covering diagnosis, treatment planning, and the execution of mild-to-moderate cases alongside combined ortho/restorative treatments, this course gives you the practical skills and clinical confidence to expand your scope of practice.

Delivered in a small group format by Dr. Nadeem Younis, you will work through real clinical scenarios, perform direct bracket bonding on typodonts, trace lateral cephalograms, and leave with a clear framework for case selection and treatment planning.

What You'll Learn

  • Orthodontic diagnosis
  • Facial analysis
  • Smile analysis
  • IOTN scoring
  • Space analysis
  • Interpreting Lateral Cephs
  • Treatment planning
  • Kesling setups
  • Different bracket systems
  • Direct bonding of brackets
  • Different arch wires and sequencing for fixed appliances
  • Use of removable appliances
  • IPR
  • Treatment of mild/ moderate crowding
  • Manage anterior spacing
  • How to correct crossbite
  • How to correct rotated teeth
  • How to plan and treat uneven gingival margins in tooth wear cases
  • How to plan and sequence cases requiring ortho and restorative interventions
  • Extrude roots to create a ferrule effect
  • Intrude teeth to create space for prothesis in opposing arch
  • Retention protocols
  • Fabricate and bond fixed retainers

What's Included

  • Comprehensive course notes
  • All practical materials and typodont
  • Lunch and refreshments both days
  • Verifiable CPD certificate (14 hrs)
  • Post-course mentoring support

Course Curriculum

09:00 AM – 09:30 – Registration
09:30 – 10:30 – Introduction to Fixed Appliances, Diagnosis & Treatment Planning
10:45 – 12:30 – Practical: Orthodontic Assessment, IOTN Scoring, Space Analysis
13:00 – 14:00 – Lunch
14:00 – 15:00 – Lecture: Treatment of Mild/Moderate Cases (Case Presentations)
15:15 – 16:30 – Interpreting & Tracing Lateral Cephalograms
16:30 – 17:00 – Q&A

Your Lecturer

Dr. Nadeem Younis

Dr. Nadeem Younis

BDS, DGDP(UK), DPDS, MSc, FCGDent — Past President BAAD

Over 30 years of clinical experience. Manchester-based dentist and educator. Dr. Younis has personally trained over 1,000 dentists and dental care professionals through his hands-on CPD courses.

Full biography

Frequently Asked Questions

What Delegates Say

Read all testimonials →

You Might Also Like

Endodontics Masterclass
Sold Out 8 CPD hrs
Denhill House, Hulme, Manchester

Endodontics Masterclass

A 1-day intensive course covering modern single-file endodontic systems — from access cavity design and glidepath to mechanical preparation, irrigation, and obturation.

Orthodontics Masterclass
Places Available 14 CPD hrs
9 October 2026 Denhill House, Hulme, Manchester

Orthodontics Masterclass

Start offering clear aligner therapy with confidence. From case selection to clinical workflow — the complete introductory programme for GDPs.

Anterior Composite Masterclass
Places Available 14 CPD hrs
8 May 2026 Denhill House, Hulme, Manchester

Anterior Composite Masterclass

A 2-day hands-on course teaching predictable anterior composite restorations — from shade matching and Class IV buildups to diastema closures and direct…